
Orthodontics
At My Mouth Dental/My Kidz Mouth Dental in Rowlett, TX, our doctors offer FASTBRACES® to quickly and effectively transform your smile.
Benefits of Orthodontics
Improved Aesthetics
Everyone desires a beautiful smile. There have even been research studies conducted which revealed that individuals with straight, beautiful smiles are viewed as more successful at work and in their personal lives. Orthodontic procedures gently shift the teeth into their proper positions over time making the smile more balanced and symmetrical. Give your appearance – and your confidence – a boost with orthodontics in Rowlett, TX.
Improved Health
A straight smile is a healthy smile. When the teeth are in alignment, they are far easier to clean. Overlapped or crooked dentition makes it difficult to brush and floss properly, increasing the risk for tooth decay and gum disease. Furthermore, malocclusion can lead to more serious issues such as bite problems and temporomandibular joint disorder (TMD). For this reason, orthodontists recommend treatment for both your health and aesthetic goals.
Improved Function
A misaligned smile can lead to a host of dental issues, such as speech problems and bite issues. When the smile is properly aligned, overall oral function is enhanced. Orthodontic appliances help correct common issues such as overbites, underbites, and cross bites so patients can chew, eat, and speak more effectively. Dr. Montoya can help determine if FASTBRACES is the most appropriate technique for you.
Learn more about orthodontics with FASTBRACES at our Rowlett, TX office...
Benefits of Orthodontics with FASTBRACES vs. Traditional Braces
Less Discomfort
FASTBRACES result in less discomfort than braces because they don't require painful tightening. The technique moves each tooth gently and allows the bone to grow as the movement takes place. In fact, the majority of our patients do not complain about any discomfort!
Quicker Results
FASTBRACES can achieve results faster than traditional braces, and results can be achieved in approximately eight to 12 months. The elbow shaped brackets increase the space between brackets and improves the flexibility of the wire, allowing the root to move with the crown right from the start of treatment. These mechanics are what speed up the treatment process.
Safer Technique
This breakthrough technology was developed by Dr. Anthony Viazis and it earned him a seat at the Advisory Board of Harvard School of Dental Medicine. This technique grows bone as the teeth move into place, greatly improving the safety of orthodontic treatment and reducing the risk of bone resorption.
Lower Cost
This treatment requires fewer visits to the orthodontist or dental office because the treatment time is so much shorter than traditional braces. In many cases, this reduces the cost of treatment, not to mention that it saves you time in the long run.
Schedule an Orthodontic Appointment Today
If dental misalignment is affecting your health, function, or confidence, perhaps it is time to schedule an appointment with a dentist or orthodontist. Dr. Jose Montoya offers FASTBRACES at our Rowlett, TX, practice, which can comfortably straighten your teeth in as little as six months.
To learn more, or to schedule an orthodontic appointment, contact us online anytime or give us a call at:
(972) 412-5064
FASTBRACES Patient: "Highly Recommend to Anyone in Need of Braces"
I’m very happy with the results of the fast braces that dr.montoya did for me. Only had them on for about 8 months,it would have been a year or more with normal braces. The Faculty members are very friendly and professional. Would highly recommend to anyone in need of braces.
I LOVE My Mouth My Kidz Dental! Dr. Ramsey and her wonderful staff are so friendly and are awesome with the kids! They are very thorough with the kids, and spend time addressing concerns. Linda at the front desk is so helpful and understanding. I won’t go anywhere else for my kids’ dental visits. Thank you My Mouth My Kidz Dental!
Find out why orthodontists recommend FASTBRACES for patients of all ages...
Adult Orthodontics
Orthodontic treatment is not just for kids. Kids, teens, and adults alike can enjoy the benefits of straighter, healthier teeth. In fact, today, one in five orthodontic patients is an adult. Proper dental alignment promotes optimal health and function, preserving your smile for many years to come. If you are an adult considering orthodontics, our knowledgeable team can determine if FASTBRACES is right for you at our Rowlett, TX, practice.

Conditions Treated by FASTBRACES
Overbites
One of the most common alignment issues, an overbite occurs when the upper teeth excessively overlap the lower teeth. This is often due to an overdeveloped upper jaw or an underdeveloped lower jaw.
Underbites
Sometimes referred to as a "bulldog bite", an underbite is characterized by lower teeth that overlap the upper teeth. This condition is typically caused by an overdeveloped lower jaw or an underdeveloped upper jaw.
Crossbites
A crossbite occurs when one or more teeth in a dental arch are too close to the tongue or the cheek. In other words, it is a lateral misalignment of the two dental arches.
Open Bites
If the front teeth do not come together properly when the jaw is in a closed position, it is called an open bite. This condition is less common than many others, but should be treated to maintain optimal health and function.
Crowding
Sometimes the jaw is not large enough to appropriately accommodate the teeth. This results in crowding or overlapping, which makes the teeth extremely difficult to clean.
Overjets
An overjet is often confused with an overbite. However, while an overbite is a problem with the jawbone, an overjet occurs when the front teeth alone protrude too far outward. This condition may be due to genetics or developmental habits such as thumb-sucking.
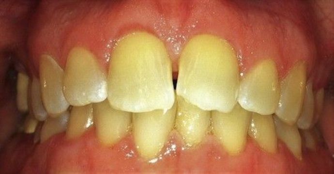
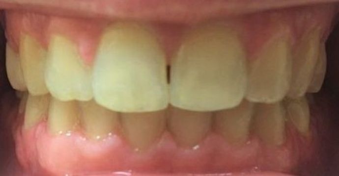
Gaps and Spaces
Gaps between the teeth are typically caused by too much space in the jaw. Orthodontic treatment can close down these spaces, prevent gum issues, and make the smile more attractive.
Orthodontics Candidates
Good Dental Health
Virtually anyone who wishes to improve their dental alignment can qualify for orthodontics at our practice. To be considered for this type of treatment, patients must be in good oral and overall health. Therefore, you must not have severe tooth decay or gum disease. These issues can seriously impede the success of treatment.
Restorative Dentistry
If you have significant issues, your dentist or orthodontist will speak with you about restorative treatments. This may include dental fillings, root canal, or periodontal therapy. Once optimal oral health is reestablished, we can discuss your orthodontic options and schedule a visit at our Rowlett, TX, practice.
The FASTBRACES Treatment Process
"I Absolutely Love This Place"
Both my kids love Dr. Ramsey and couldn't be happier. We have been coming here for a few years now and are extremely happy! I see Dr. Montoya and he is also very great and have been extremely happy with the entire office since day one. Give them a chance and you won't regret it!
I’ve been coming here for a little over 4 years and I absolutely love this place. Shalena the dental hygienists always remembers all the small details that matter to me. Dr. Montoya is very thorough and he always has a smile! He makes you feel comfortable and explains everything in detail.
Maintaining Your Results WITH A RETAINER
Once you've completed your orthodontic treatment, you will have to wear a retainer to allow for the bone to heal around your teeth in their new position. Your dentist or orthodontist will advise you on how long to wear your retainer, but it usually amounts to several hours each day and while you sleep.
If you've received FASTBRACES, you may have to wear your retainer for a significantly shorter amount of time each day than if you received traditional braces.

"The staff is absolutely amazing!"
The staff is absolutely amazing! They make you feel welcome as soon as you walk in the door, and are quick to help patients get comfortable. My daughter had a phenomenal experience and she is only two! I will definitely be making this our dentist from now on.
View on GoogleDr. Montoya is amazing. Very honest and gentle with our mouths. Me and my children have been coming here for years. We will not go anywhere else. The office staff is awesome too. Great place for the whole family.
View on GoogleREQUEST A CONSULTATION ABOUT ORTHODONTICS TODAY!
Receiving orthodontic treatment sooner rather than later can help you or your child avoid serious oral health problems that can be expensive to correct. With orthodontics, you can save yourself the trouble of needing restorations and give yourself a dazzling smile, sometimes in just a matter of months!
Our friendly staff can further explain how orthodontic treatment can personally benefit you. Fill out our contact form or call our Rowlett, TX, office:
(972) 412-5064

Why Do Patients Choose Us? HERE'S WHAT MAKES OUR ROWLETT, TX, PRACTICE UNIQUE
Patients for Life
Our dentists understand that developing proper oral hygiene habits should start at an early age, but dental needs change as we age and can require dentistry like restorations. My Mouth Dental/My Kidz Mouth Dental offers comprehensive dental care for all ages, all under one roof.
A Focus on Education
Our Rowlett, TX, dentists believe that part of your regular checkup should involve ensuring that you know how to maintain your oral health at home. We can provide you with the knowledge necessary to perfect your at-home oral hygiene routine.
Prestigious Affiliations
All three of our dentists are members of the American Dental Association, an organization that requires dentists to follow a strict code of ethics. In return, members of the ADA have access to the most recent dental information and resources so they can provide their patients with quality care.
Orthodontics for Your Child
My Mouth Dental/My Kidz Mouth Dental proudly offers orthodontic treatment for children and teenagers. Dr. Ashley Ramsey is a board-certified pediatric dentist who can provide your child with some of today's most effective orthodontic treatments:
FASTBRACES

Many adults are prime candidates for FASTBRACES, but in many cases, children and teenagers can experience the same benefits. FASTBRACES are a treatment that can be completed in as little as six months, and may be just what your child needs to correct their bite for life.
Traditional Braces

Traditional braces are a popular orthodontic treatment due to their success rate and price point. Though this orthodontic solution may take longer than other orthodontic methods like FASTBRACES, traditional braces may be the best orthodontic option in cases of severe misalignment.
Orthodontic Space Maintainer

When baby teeth are lost prematurely, adult teeth can grow in crooked. A custom orthodontic space maintainer can hold this space open until your child's adult teeth are ready to erupt. There are different kinds of space maintainers and our pediatric dentist can recommend one for your child's unique needs.
Our pediatric dentist in Rowlett, TX, can also provide interceptive orthodontics to correct minor dental concerns before they turn into serious problems requiring extensive or costlier treatment as your child grows older.
Straighten Your Child's Teeth WITH OUR BOARD-CERTIFIED PEDIATRIC DENTIST
Dr. Ashley Ramsey is proud to serve children across Rowlett, TX, with everything from general dentistry to orthodontics. A mother herself, Dr. Ramsey knows how to create a comfortable environment for children to ease any dental anxiety they may have.
To inquire about orthodontic treatment for your child, fill out our contact form or call our Rowlett, TX, office:
(972) 412-5064

"They are so patient" 5-STAR REVIEWS FOR OUR PEDIATRIC DENTIST
HIGHLY RECOMMEND THIS PLACE! They took excellent care of my daughter. She had to have some oral work done and Dr. Ashley Ramsey and her staff were the absolute best. She is so knowledgable and relatable. They are so patient and give you the power to make decisions over what makes you comfortable.
View on GoogleProfessional, clean, informative, and Dr. Ramsey and her staff is the BEST. I wouldn’t go any other place. My son has been a patient for 8 years. Under Dr. Ramsay’s care; he actually loves going to the dentist. She is THE BEST!!! Check her out and I promise you won’t be disappointed
View on Google






